INVISALIGN

INVISALIGN IN MCKINNEY, TX
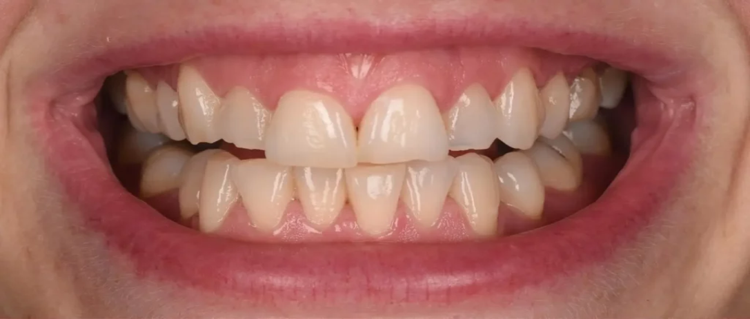
Invisalign is a modern orthodontic treatment that straightens teeth using clear, removable aligners. At Procare Dental Studio, we provide expert Invisalign in McKinney, TX, creating custom-made aligners that are nearly invisible and a popular alternative to traditional metal braces. We also offer Invisalign treatments for patients from Frisco, TX, helping them achieve a straight, confident smile with comfort and convenience.
Invisalign offers a lifestyle-friendly approach to improving your smile by gently guiding teeth into better alignment without disrupting your daily routine. The system uses advanced digital scans and precision-engineered aligners that fit comfortably over your teeth. Because the trays are removable, patients can eat, brush, and floss normally, making it one of the most convenient orthodontic options available. Invisalign is ideal for individuals seeking a discreet, flexible treatment that fits seamlessly into a busy lifestyle.
Benefits Of Invisalign
- Invisalign aligners are clear and discreet, so most people won’t notice them.
- They are removable, allowing easy brushing, flossing, and eating.
- No metal wires or brackets means less irritation in your mouth.
- Fewer dental visits are needed compared to braces.
- Treatment is comfortable, and you can see progress week by week.
PROCESS OF INVISALIGN IN MCKINNEY, TX
The Invisalign treatment begins with a dental consultation to determine if you are a good candidate for clear aligners. At Procare Dental Studio, we provide expert Invisalign in McKinney, TX, where Dr. Sheikh will take a 3D scan or impression of your teeth to create a personalized set of aligners. Each aligner is worn for about 1 to 2 weeks for 20 to 22 hours per day, gradually shifting your teeth into the desired position. Regular dental check-ups every few weeks help monitor your progress. The full treatment duration typically ranges from 6 to 18 months, depending on your specific dental needs. We also provide Invisalign care for patients from Frisco, TX, helping them achieve a straight, healthy, and confident smile.



FAQS
Invisalign is generally not painful, but you may feel mild pressure or discomfort for a day or two when switching to a new set of aligners.
No, you should remove your aligners before eating or drinking anything other than water to prevent damage or staining.
Clean your aligners daily using a soft toothbrush and mild soap or Invisalign cleaning crystals. Avoid using hot water as it may warp them.
You may experience a slight lisp during the first few days, but most people adjust quickly and speak normally within a short time.
Invisalign in McKinney, TX uses custom-made, clear aligners to gradually straighten teeth. Aligners are worn 20–22 hours per day and replaced every 1–2 weeks. Regular check-ups ensure progress is on track. This treatment is suitable for both teens and adults. We also provide Invisalign care for patients from Frisco, TX, helping them achieve a healthy, confident smile without traditional braces.
