DENTAL CROWNS & BRIDGES

Dental Crowns and Bridge In Mckinney TX

DENTAL CROWNS & BRIDGES

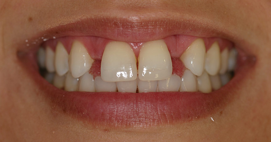
A dental crown is a specially made cap that covers and protects a tooth’s exposed surfaces when it is weak, damaged, or broken. At Procare Dental Studio, we provide high-quality Dental Crowns in McKinney, TX using premium materials such as porcelain, zirconia, and e-max. Our custom restorations are designed to deliver natural-looking results while offering long-lasting strength and durability.

A dental crown is used when a tooth can no longer be restored with a simple filling and needs stronger structural support. It rebuilds the tooth’s function so patients can bite and chew comfortably without sensitivity or pain.

Crowns also play an important role in improving smile aesthetics by correcting tooth shape, size, and color. At Procare Dental Studio, they are often recommended to stabilize teeth after large cavities, fractures, or cosmetic concerns, helping maintain long-term oral health.

 
 

What is Dental Crown?

dental crown is essentially a “cap” placed over a tooth. It covers the visible part of the tooth above the gumline, restoring its shape, size, and strength.Crowns can be made of porcelainceramicmetal alloys, or a combination of materials. Porcelain crowns are especially popular for their natural appearance and durability.

Crowns are often used when a tooth is:

  • Severely decayed
  • Cracked or broken
  • Worn down
  • After a root canal
  • To support a dental bridge

What is Dental Bridges?

One or more lost teeth can be replaced with a dental bridge. It uses neighbouring healthy teeth (or implants) as support to “bridge” the space created by lost teeth.

Types of Dental Bridges

  1. Traditional Bridge
  2. Cantilever Bridge
  3. Maryland Bridge
  4. Implant-supported Bridge

Benefits of Dental Crowns & Bridges

  1. Restore Functionality
    Help you chew and speak properly by replacing or repairing damaged or missing teeth.

  2. Improve Appearance
    Enhance the look of your smile by filling gaps or covering discolored or misshapen teeth.

  3. Provide Long-Term Durability
    Made from strong materials like porcelain or metal, they can last many years with proper care.

  4. Prevent Further Dental Issues
    Protect surrounding teeth from shifting or further damage by maintaining alignment.

  5. Boost Confidence
    A complete, healthy-looking smile can greatly improve your self-esteem.

  6. Maintain Facial Structure
    Prevent bone loss and facial sagging that can occur due to missing teeth.

  7. Custom-Fit for Comfort
    Designed specifically to fit your mouth comfortably and naturally.

What is the procedure for Dental Crowns & Bridges

At Procare Dental Studio, Dr. Sheikh begins by gently numbing the area to ensure your comfort. The affected tooth is then carefully reshaped to create space for a custom dental crown. For dental bridges, the adjacent teeth are similarly prepared to support the restoration.

 

Next, precise digital or traditional impressions are taken and sent to a skilled dental laboratory to craft your custom restoration. In the meantime, a temporary crown or bridge is placed to protect your teeth and maintain function.

 

We provide high-quality dental crowns in McKinney, TX, while also serving patients from Prosper, Frisco, and surrounding North Dallas communities. Each restoration is designed for a natural look, optimal function, and long-term durability.

 

Once your final crown or bridge is ready, Dr. Sheikh will carefully evaluate the fit, bite, and shade before securely placing it. Any necessary adjustments are made to ensure maximum comfort, aesthetics, and long-lasting results.

Call Us Today for FREE Consultations

Book your FREE consultation today and start your journey to a healthier smile.
    Scroll to Top