SMILE MAKEOVER

SMILE MAKEOVER IN MCKINNEY, TX
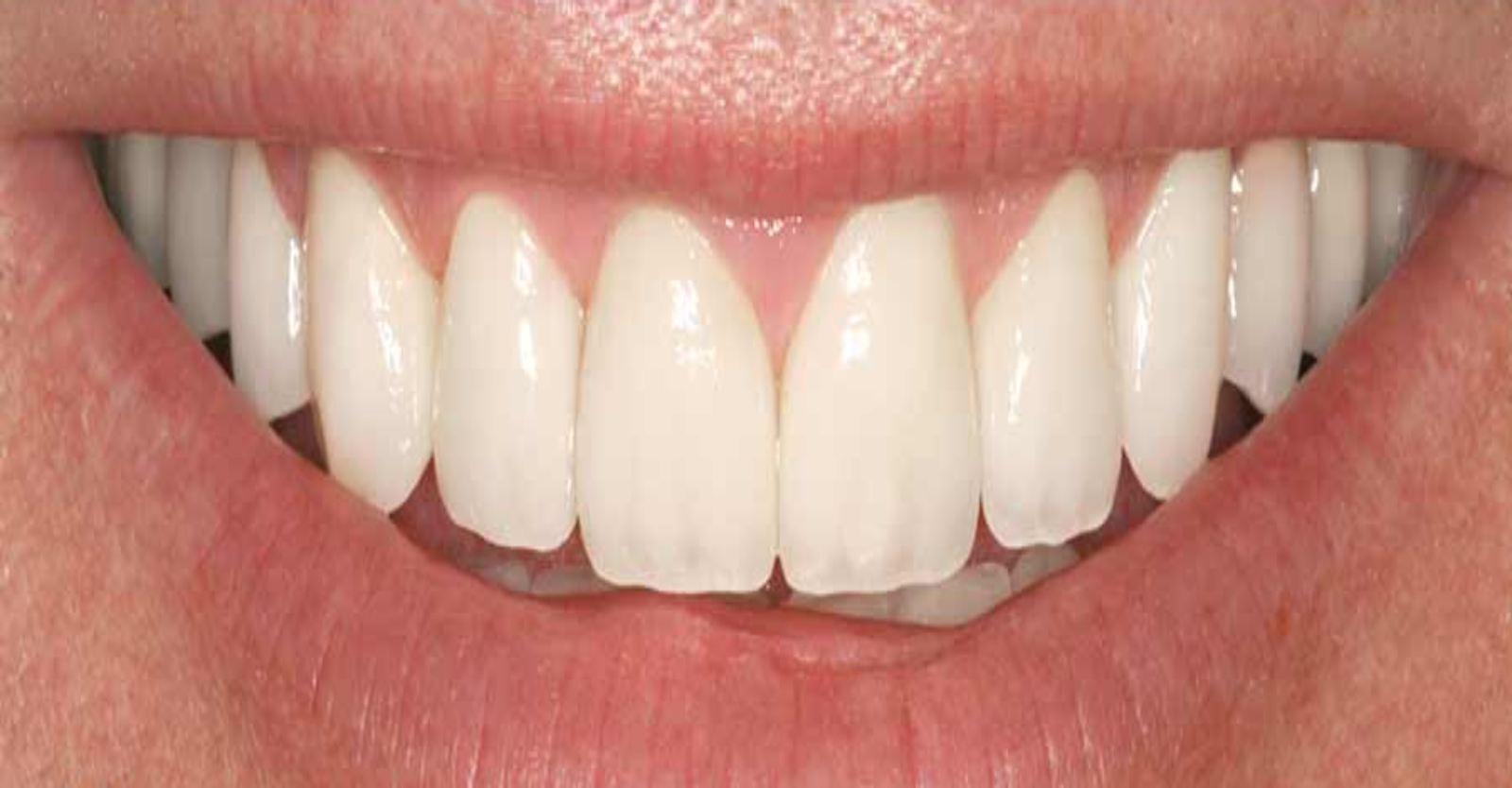
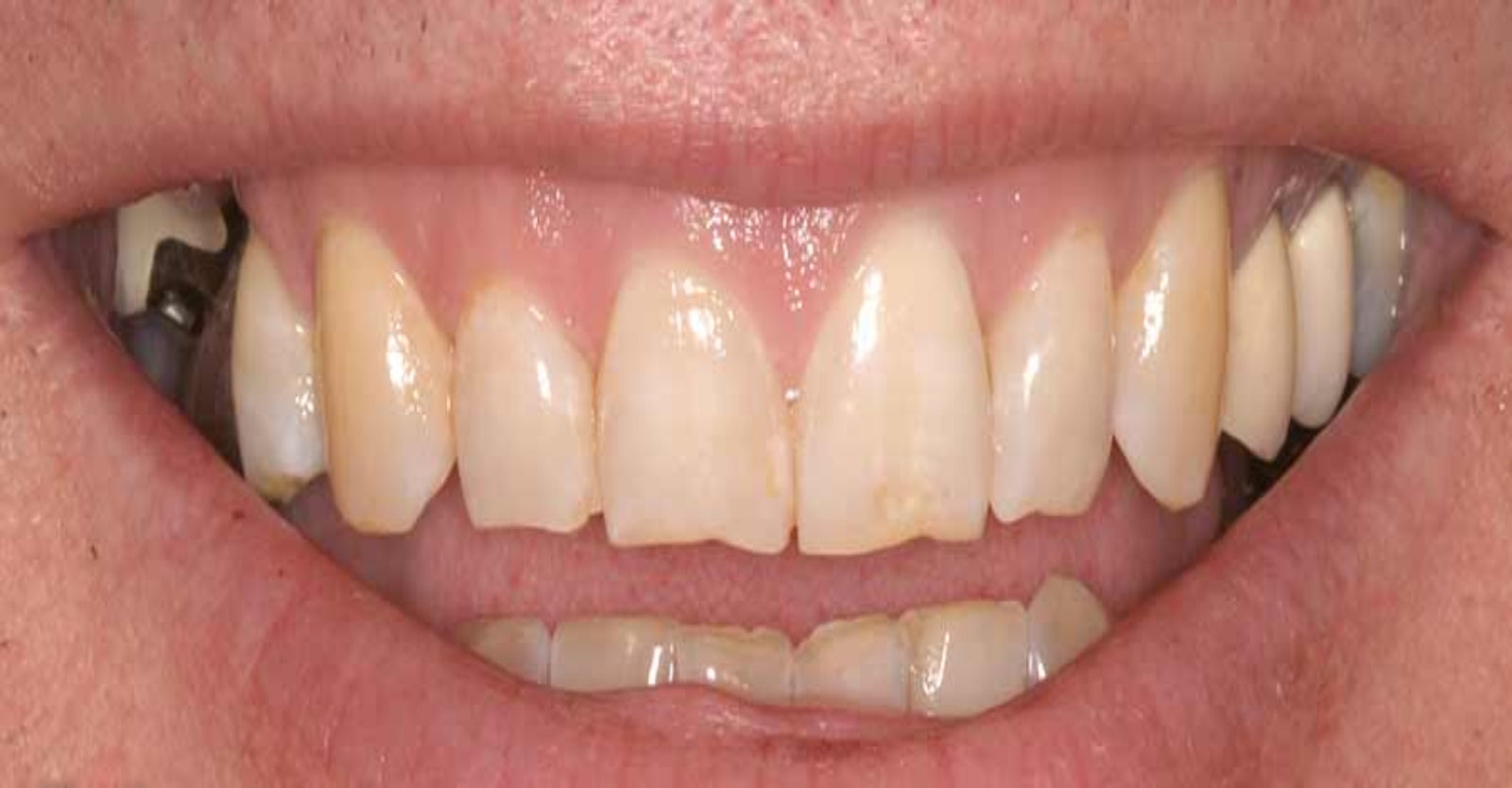
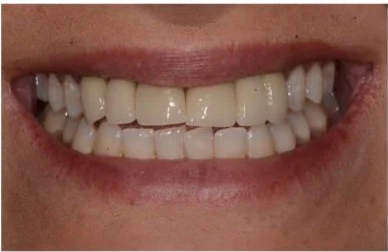
A Smile Makeover in McKinney, TX is a cosmetic dental treatment plan designed to improve the appearance of your smile through one or more procedures such as teeth whitening, veneers, crowns, orthodontics, and gum reshaping. It focuses on enhancing tooth color, shape, alignment, and overall aesthetics based on your facial features and preferences.
Instead of just correcting individual flaws, it looks at the entire smile—from proportions to symmetry—to design an outcome that feels uniquely yours. Many patients choose a smile makeover not only for aesthetic improvement but also for the boost in self-esteem and the positive impact it brings to their daily interactions and overall well-being.
Benefits Of Smile Makeover
Improves the overall appearance of your smile.
Boosts confidence and self-esteem.
Corrects chipped, cracked, or worn teeth.
Aligns uneven or crooked teeth.
Whitens discolored or stained teeth.
Improves bite and dental function in some cases.
Customized to suit your facial features and personality.
PROCEDURE OF SMILE MAKEOVER IN MCKINNEY, TX
- The smile makeover process begins with a consultation, where Dr. Sheikh discusses your goals and examines your oral health.
- A treatment plan is created, combining different cosmetic procedures tailored to your needs.
- Digital smile design or mock-ups may be used to preview results.
- Treatments may include whitening, veneers, crowns, braces/Invisalign, bonding, or gum contouring.
- Once approved, procedures are carried out over one or multiple visits.
- Final adjustments ensure your smile looks natural and harmonious with your face.



Types Of Smile Makeover
Teeth Whitening Makeover – Focuses on brightening stained or dull teeth.
Veneer Makeover – Uses porcelain veneers to reshape and enhance teeth.
Orthodontic Makeover – Invisalign or braces to straighten teeth.
Full Mouth Rehabilitation – Combines restorative and cosmetic work for both function and beauty.
Gum Contouring Makeover – Reshapes the gum line for a balanced look.
